Logo do Tudo Notícias
  • Últimas notícias
  • Ofertas
Brasil
Mundo
Esportes
Política
Produtos e Reviews
Saúde
Tecnologia
Games
Logo
  • Página Inicial
  • Sobre
  • Política de Privacidade
  • Termos de uso
  • Contato
Redes sociais
  • Facebook TN
  • tudonoticiasoficial
  • tudonoticiasof
Editorias
  • Brasil
  • Cultura Pop
  • Economia
  • Educação
  • Entretenimento
  • Esportes
  • Estados
  • Games
  • Mundo
  • Política
  • Saúde
  • Tecnologia
Educação
  • Educação
  • Educação Infantil
  • Ensino Básico
  • Ensino Superior
Games
  • Consoles e Hardware
  • Dicas e Tutoriais
  • Esports
  • Game Development
  • Indie Games
  • Indústria
  • Lançamentos
  • Mobile Games
  • PC e Mods
  • Promoções
  • Retrô e Nostalgia
  • Retro Gaming
  • Streaming
  • Xbox
Tecnologia
  • Blockchain
  • Cibersegurança
  • Ciência e Inovação
  • Cripto
  • Gadgets
  • Inovação
  • Inteligência Artificial
  • Redes Sociais
  • Robótica e Automação
  • Smartphones e Tablets
  • Software e Aplicativos
  • Startups
Brasil
  • Acidentes
  • Agronegócio
  • Cidades
  • Desastres
  • Homicídios
  • Indústria
  • Infraestrutura
  • Loteria
  • Policial
  • Regiões
  • Transportes
Entretenimento
  • BBB 25
  • Celebridades
  • Cinema
  • Documentários
  • Eventos
  • Música
  • Premiações
  • Streaming
  • Teatro
  • TV e Séries
  • Vida Social
Mundo
  • América Latina
  • Ásia
  • Conflitos
  • Crises
  • Cultura
  • Cultura Regional
  • Estados Unidos
  • Europa
  • Geek
  • Geopolítica
  • Negociações
  • Oriente Médio
  • Pandemias
  • Refugiados
  • Terrorismo
Cultura Pop
  • Animes & Mangás
  • Filmes
  • HQs
  • K-Pop
  • Séries
  • Streaming
Esportes
  • Artes Marciais
  • Atletismo
  • Automobilismo
  • Basquete
  • Boxe
  • Ciclismo
  • Esportes Radicais
  • Esports
  • Futebol
  • Futebol Internacional
  • Handebol
  • Jogos
  • Lutas
  • Natação
  • NBA
  • Seleção Brasileira
  • Tênis
  • UFC
  • Vôlei
Política
  • Campanhas
  • Congresso
  • Diplomacia
  • Eleições
  • Governos
  • Judiciário
  • Orçamento
  • Partidos
  • Política Econômica
  • Política Internacional
  • Reformas
  • Reformas Econômicas
Economia
  • Agronegócio
  • Bancos
  • Crédito
  • Economia
  • Economia Global
  • Endividamento
  • Exportação
  • Fintechs
  • Impostos
  • Indústria
  • Inovação
  • Investimentos
  • Política Econômica
  • Renda
  • Salários e Empregos
  • Tributação
  • Varejo
Estados
  • Acre
  • Alagoas
  • Amapá
  • Bahia
  • Goiás
  • Maranhão
  • Minas Gerais
  • Pará
  • Paraíba
  • Pernambuco
  • Piauí
  • Rio de Janeiro
  • Rio Grande do Sul
  • Rondônia
  • Roraima
  • São Paulo
  • Sergipe
Saúde
  • Bem-Estar
  • Cuidados com a Pele
  • Doenças
  • Doenças Raras
  • Estilo de Vida
  • Fitness
  • Longevidade
  • Medicina
  • Nutrição
  • Pesquisas
  • Saúde Mental
  • Saúde Pública
  • Tratamentos
  • Vacinas

TudoNotícias

Tudo Notícias   © Copyright. Todos os direitos reservados.
Desenvolvido por
Powered by Yooh
  1. Capa
  2. Brasil
  3. Medicina

Inteligência Artificial Revoluciona Diagnóstico de Câncer em SC

Por Autor Redação TNRedação TN
11/10/2025 04h00

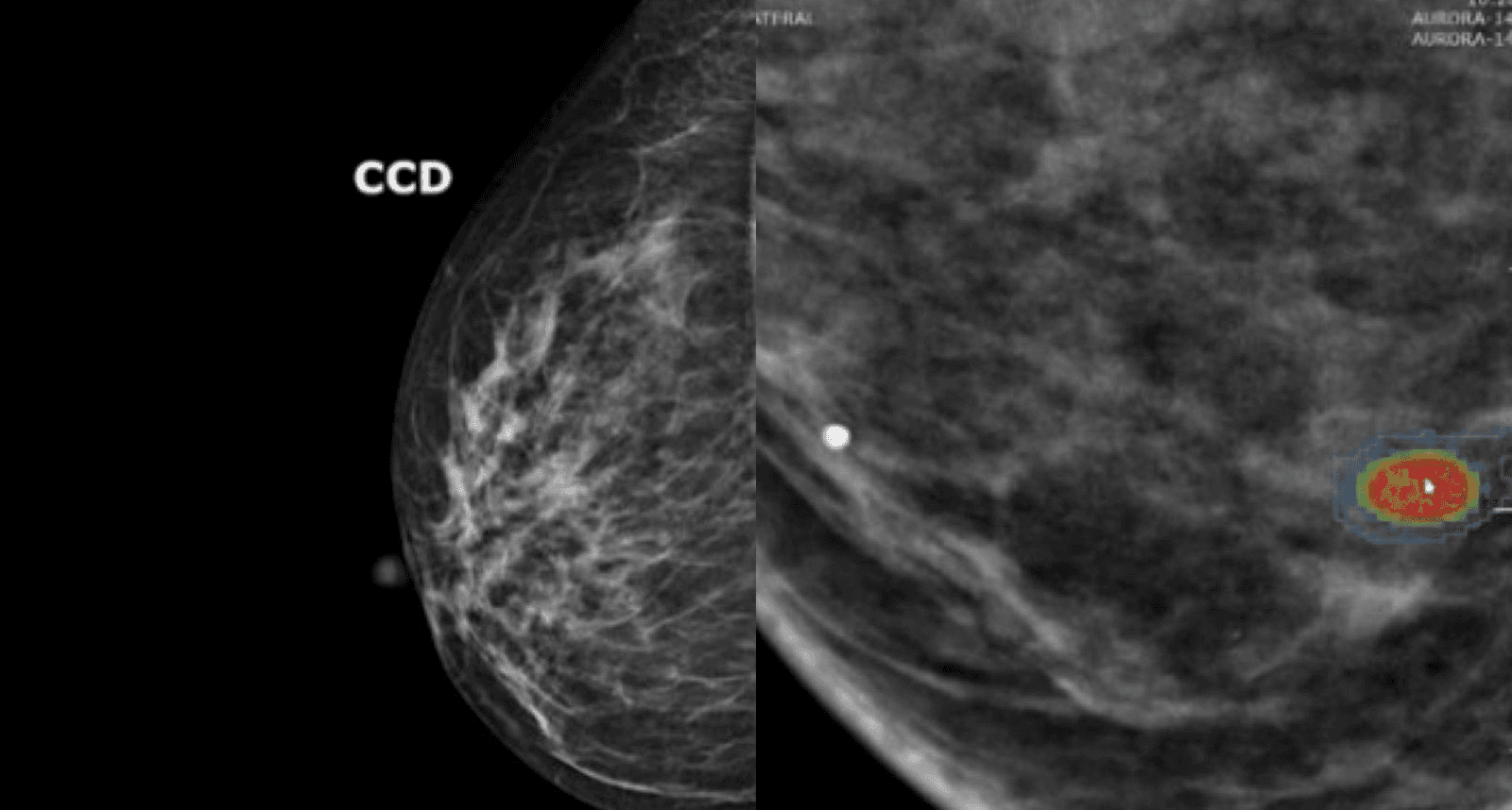
IA ajuda na triagem de mamografias em SC, acelerando diagnóstico precoce. Legenda da imagem. Reprodução: Retorno do item 11

Inteligência Artificial no Combate ao Câncer de Mama

Santa Catarina se tornou um exemplo no uso de inteligência artificial para deteção precoce do câncer de mama, condição que afeta 74 a cada 100 mil mulheres no estado, de acordo com o Instituto Nacional de Câncer (Inca). À medida que a tecnologia avança, cerca de 18 cidades do estado adotaram novas ferramentas que auxiliam no diagnóstico, tornando-o mais rápido e preciso.

Tecnologia Que Transforma Diagnósticos

As mamografias são catalisadoras dessa transformação. A médica radiologista Bianca Miranda Lago, atuando em Joinville, destaca que sua clínica realiza mais de 6 mil mamografias anuais com a ajuda da tecnologia de IA. Embora a inteligência artificial acelere a análise em até 70%, médicos permanecem responsáveis pela interpretação final dos resultados. "Levamos cerca de 30 minutos por exame, mas isso pode variar conforme o tipo de mama da paciente," explicou a especialista.

Detecção Antecipada de Anomalias

Através da análise de laudos, a ferramenta de IA identifica nódulos e sinais de alerta em tempo recorde, priorizando exames que possam indicar lesões ou microcalcificações suspeitas. A especialista em tecnologia médica, Paula Castilho, afirma que isso garante que casos mais críticos recebam atenção imediata. "A IA já detecta antecipadamente exames com lesões que exigem avaliação prioritária," revela.

A Importância do Autoexame

Além da tecnologia, o autoexame se mantém como um elemento crucial na detecção precoce do câncer de mama. O diagnóstico rápido pode aumentar significativamente as chances de cura e as opções de tratamento. Aqui estão as etapas para realizar o autoexame:

CONTINUA DEPOIS DA PUBLICIDADE

Confira nossas ofertas

Echo Dot 5ª geração | O Echo Dot com o melhor som já lançado | Cor Azul

Echo Dot 5ª geração | O Echo Dot com o melhor som já lançado | Cor Azul

R$ 359,10

De R$ 459,00

Vendido na Amazon

Amazon Echo Pop em oferta durante a Semana do Consumidor

Amazon Echo Pop em oferta durante a Semana do Consumidor

R$ 263,47

De R$ 379,00

Vendido na Amazon

  • Coloque uma mão atrás da cabeça e a outra nos seios;
  • Observe, em frente ao espelho, se há retração na pele ou alterações nas mamas;
  • Com a ponta dos dedos, apalpe os seios em movimentos circulares;
  • Não se esqueça de apalpar a região das axilas;
  • Esprema o bico do seio para verificar se há secreções.

Com a combinação da tecnologia e do autoexame, a expectativa é um aumento contínuo na detecção precoce do câncer de mama em Santa Catarina, ajudando a salvar vidas e melhorar os índices de tratamento da doença.

Tags: Saúde, Inteligência Artificial, Câncer de Mama, Santa Catarina, tecnologia Fonte: g1.globo.com

Mais notícias

  • Maré entra no mapa do Rio, com mapeamento de ruas e limites das 16 favelas. Legenda da imagem. Reprodução: Retorno do item 11
    Governos

    Governo Anuncia CEPs para Favelas e a Inclusão Social

  • Legenda da imagem. Reprodução: Retorno do item 11
    Judiciário

    Movimentos Cobram Indicação de Mulher para o STF

  • Legenda da imagem. Reprodução: Retorno do item 11
    Cidades

    Brasília: Um Ato de Esperança e Realidade Contrastante

  • Lula e Trump trocam contatos para diálogo direto entre Brasil e EUA. Legenda da imagem. Reprodução: Retorno do item 11
    Diplomacia

    Lula e Trump: Nova Rota de Comunicação e Protocólos

  • Infográfico mostra os vencedores do Nobel 2025, incluindo Maria Corina Machado (Prêmio da Paz). Legenda da imagem. Reprodução: Retorno do item 11
    Ciência e Inovação

    Nobel 2025: Vencedores Inesperados e suas Conquistas